| 汽化式雷射 全臉磨皮> |
非汽化式 雷射/光療> |
飛梭概念提出> | Sellas evo |
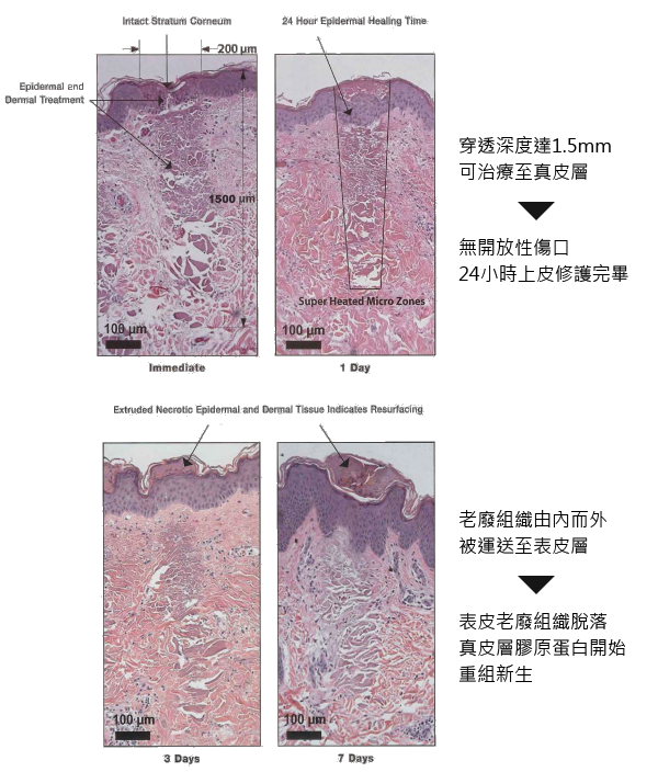
| v 效果顯著 | v 無開放性傷口 | . Rox Anderson | . 1550 nm |
| x 大面積傷口 | v 術後修護期短 | .分段分次治療概念 | .針對毛孔/細紋/痘疤 |
| x 術後照護不易 | v 低副作用 | v 效果顯著 | .安全 / 修護期短 |
| x 修護期冗長 | x 效果不佳 | v 無開放性傷口 | .術後可立即上妝 |
| x 易反黑 | v 術後修護期短 | ||
| v 低副作用 |
![]() |
![]() |
![]() |
![]() |
| 膚色不均 | 眼周細紋 | 青春痘疤 | 育髮治療 |
| 光老化 | 陽婆婆唇紋 | 創傷疤痕 | |
| 法令紋 | 手術疤痕 | ||
| 毛孔粗大 | 燙傷疤痕 | ||
| 老化鬆弛 | 妊娠紋 |
| 波長 | 1550 nm |
| 介質 | Er:Glass |
| 輸出能量 | 1-120 mJ |
| 手握把尺寸 | 2/3/5 cm |
| 治療範圍 | Max. 3x3 cm2 |
| 螢幕 | 全彩觸控式螢幕 |
| 重量 | 30 kg |
| 體積 | 404x557x893mm |


| 廠牌 | 輸 出 模 式 | 說明 |
| Sellas 1550nm |
![]() |
亂序輸出 (減少熱累積) 點陣排列 (完整均勻治療) |
| M牌 1550nm |
![]() |
亂數輸出、亂序排列。光點分佈過於集中易造成熱傷害,過於鬆散使治療效果不佳。 |
| 晶鑽飛梭 1540nm |
![]() |
蓋印章式輸出,如同蓋圓形印章,怎麼蓋也不能完整均勻覆蓋。 |
| •光點大小為60mm •治療密度可依適應症自由調整 |
![]() |
![]() |
| •18種客製化圖形治療選單,治療更便利 •專利電腦掃瞄裝置,可手繪獨特的治療圖形 |
|
![]() |
![]() |
| •儀器介面簡易明瞭,設定參數不耗時 •3 種固定式聚焦探頭(非耗材) 2cm、3cm 、5cm •治療時無需接觸肌膚避免肌膚感染問題 |
|
![]() |
![]() |